Welcome to DataBiox
A comprehensive platform for sharing applications of AI, ML & data science in Biological and Medical Sciences
Medical AI Datasets & Research
Advancing medical research through cutting-edge AI and machine learning datasets for cancer detection, diagnosis, and pathological analysis.
Invasive Ductal Carcinoma (IDC) Dataset
Our first prepared dataset is related to breast cancer, Invasive Ductal Carcinoma (IDC). This dataset has been collected from pathological biopsy samples of 150 patients (Grade I, II and III) who were referred to Anahid Clinic and Pour Sina Hakim Digestive Diseases Research Center, Isfahan University of Medical Science, during 2014-2019.
Each pathological sample in the dataset has four levels of magnification: 4x, 10x, 20x and 40x.
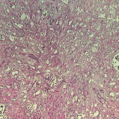
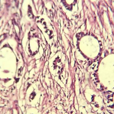
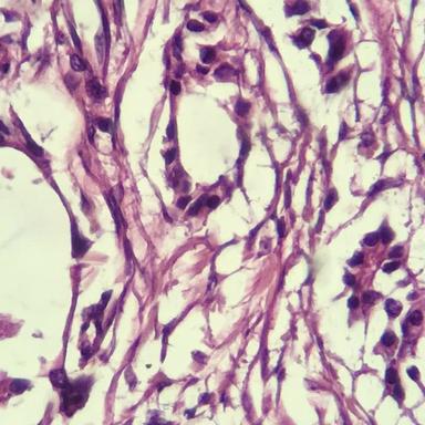
Magnification Samples

5x Magnification

10x Magnification

20x Magnification

40x Magnification
Available Medical Datasets

CRC-HGD-v1
Colorectal Cancer Histopathological Grading Image Dataset with 1,899 images in 3 categories: Grade I (Well Differentiated), Grade II (Moderately Differentiated), and Grade III (Poorly Differentiated).

3D-EUS-PAF
3D Endoanal Ultrasound Image Dataset for Assessment of Peri-Anal Fistulas and Abscesses. Includes 160 images from 34 patients with 7 different classes.

ERCPMPv1
Endoscopic Image and Video Dataset for Recognition of Colorectal Polyps Morphology and Pathology. Contains data from 192 patients with colorectal polyps.

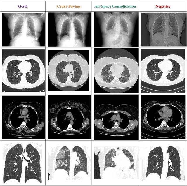
HRCTv1-COVID-19
High Resolution Chest CT-Scan Image Dataset for COVID-19 Diagnosis from 395 cases with 181,106 images. Three diagnostic labels: GGO, Crazy Paving, and Air Space Consolidation.

CRC Histopathologic
Colorectal Cancer (CRC) Histopathologic Image Dataset for Grading. A comprehensive dataset for histologic images of Colorectal Cancer.



CHMMOTv1
Cardiac and Hepatic Multi-Echo (T2*) MRI Images and Clinical Dataset for Iron Overload on Thalassemia Patients. Includes 124 patients with comprehensive clinical data.
Ready to Advance Medical Research?
Join our community of researchers and access cutting-edge medical AI datasets.
